Implantes dentales en Gijón
con cirugía guiada
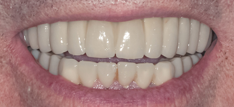
En el Instituto Odontológico Cantábrico realizamos tratamientos de implantes dentales en Gijón con cirugía guiada por ordenador, una técnica de última generación que nos permite planificar y colocar el implante con la máxima precisión.
Gracias a esta tecnología avanzada, conseguimos tratamientos más seguros, menos invasivos y con resultados estéticos altamente predecibles. Esto nos diferencia y ofrece a nuestros pacientes una experiencia más cómoda, rápida y eficaz.
Implantes con corona
1.300€
En Instituto Odontológico Cantábrico, nuestra clínica dental en Gijón, ofrecemos un precio transparente por cada implante dental con corona definitiva, que incluye:
Examen intraoral
Escáner en 3 dimensiones
Escáner de tejidos blandos
Planificación quirúrgica digital
Realización de férula quirúrgica
Ferula quirúrgica
95€
En IO Cantábrico ofrecemos un servicio de implantología diseñado para tu máxima comodidad.
Gracias a la tecnología digital y a la planificación guiada, colocamos el implante con precisión, menos molestias y una recuperación más rápida.
Pasos necesarios durante tu tratamiento de implantes
Paso 1
Examen dental completo
En esta visita tomaremos todas las medidas necesarias para empezar a estudiar tu situación. Necesitamos radiografías, escáner en 3 dimensiones, escaneo de tejidos blandos y fotografías.
Paso 2
Planificación digital
Cuanto más trabajamos esta fase, menos tiempo pasa el paciente en el sillón. Utilizamos software dental para revisar cada detalle y colaboramos con algunos de los mejores laboratorios de Asturias y de España. El resultado es una férula quirúrgica que facilita la colocación del implante y, en algunos casos, la fabricación previa de coronas provisionales.
Paso 3
Puesta del implante
Debido a la preparación previa y la cirugía guiada con férula quirúrgica, el tiempo de sillon dental se ve drásticamente reducido
Paso 4
Mantenimiento
Nos gusta ver a nuestro paciente unos días después para controlar al máximo hasta el mas mínimo detalle
Paso 5
Toma de registros
Tomamos medida de los implantes y de los dientes con un escaneado intraoral para lograr una máxima precisión. El laboratorio diseña digitalmente la restauración final. Dependiendo de la complejidad del caso, se necesitan varias visitas para conseguir un resultado excelente
Paso 6
Colocación de la restauración
Ya sea una corona única o más unidades, las restauración va atornillada a los implantes proporcionando una mejora estética o funcional evidente.
Paso 7
Reunión explicativa
Te daremos información detallada de que hacer para mejorar la longevidad de tus implantes. Se te recomendara unas visitas regulares con nuestro equipo de higienista para mantener la salud de tus implantes
Tipos de
restauraciones
Único diente
En caso de necesitar reemplazar un solo diente, un implante dental lo puede sostener. Es la intervención más rápida.

Varios dientes
En esta situación, no hace falta un implante por corona, es decir, dos implantes pueden tener dos, tres o hasta cuatro coronas.

Todos los dientes
En casos de edentulismo total, ponemos seis implantes para dar 10 o 12 coronas.

Partes de un
implante dental
Restauración
La restauración es una corona hecha con zirconia, un material altamente biocompatible y de gran estética.
Pilar
El pilar es una columna de titanio que
unirá el implante a la restauración,
esta atraviesa el tejido blando.
Implante
Propiamente dicho, con forma de cilindro de titanio. Este material permite «adherirse» al hueso siguiendo un proceso llamado oseointegración.
Tornillo
Es el encargado de unir la restauración al pilar.
La restauración es una corona hecha con
zirconia, un material altamente biocompatible
y de gran estética.
El pilar es una columna de titanio que
unirá el implante a la restauración,
esta atraviesa el tejido blando.
Propiamente dicho, con forma de cilindro de titanio.
Este material permite "adherirse" al hueso siguiendo
un proceso llamado oseointegración.
Es el encargado de unir la restauración al pilar.
Qué nos diferencia
En IOCantabrico podemos demostrar la calidad de nuestros tratamientos debido a:
Examen inicial y planificación digital gratuita
Examen dental y planificación digital totalmente gratuita.
Implantes de alta calidad con marca Neodent
Nuestra marca de implantes es Neodent. Una marca con más de 30 años de antigüedad y numerosas publicaciones científicas.
Respaldo del grupo Straumann
Neodent pertenece al grupo suizo Straumann. Una de las mayores marcas dentales con un bagaje científico e innovador puntero.
Materiales 100% Neodent para máxima seguridad
Todos los materiales de los implantes, es decir, el propio implante, el pilar, y el tornillo son de la casa Neodent. Es decir, no utilizamos materiales de otras marcas para abaratar precios y disminuir la calidad.
Materiales regenerativos premium Straumann
Los materiales regenerativos usados, si son necesarios (huesos, membranas…) son de Straumann para controlar al máximo la calidad.
Planificación digital para cirugías precisas
Siempre realizamos planificaciones digitales para controlar la precisión en nuestra cirugía y mejorar el postoperatorio.
Tecnología avanzada en todas las fases del tratamiento
Tecnología puntera durante todo el tratamiento.
Información completa antes y después de cada visita
Información detallada previa y después de tus visitas.
Revisiones anuales de 30 minutos, sin prisas
Tus citas anuales tienen una duración de 30 minutos. No concebimos revisiones de 5 minutos.
Preguntas frecuentes
Aquí encontrarás las respuestas más comunes sobre implantes dentales y cirugía guiada. Si aún tienes dudas, nuestro equipo estará encantado de atenderte personalmente.
¿En qué consiste la cirugía guiada en implantes dentales?
La cirugía guiada consiste en un proceso digital completo que comienza con un escáner intraoral y una tomografía 3D (CBCT). A partir de estos datos, nuestro equipo planifica digitalmente la colocación extremadamente precisa del implante, considerando la anatomía ósea, la encía y el resultado estético final.
Con esta información diseñamos una guía quirúrgica personalizada que utilizamos durante la intervención para colocar el implante en el punto preciso, con la profundidad y el ángulo ideales, sin necesidad de cortes grandes ni puntos de sutura.
Beneficios de la cirugía guiada en implantes dentales
- Mayor precisión en la colocación del implante
- Procedimiento mínimamente invasivo
- Menor dolor e inflamación
- Tiempos de recuperación más rápidos
- Tratamiento más seguro y cómodo
¿Duele el procedimiento de cirugía guiada en implantes dentales?
No, la cirugía guiada para implantes dentales no es dolorosa. El procedimiento se realiza bajo anestesia local, lo que garantiza que el paciente no sienta molestias durante la intervención.
Al ser una técnica mínimamente invasiva, se evitan los cortes amplios y la colocación de puntos de sutura, lo que reduce notablemente el dolor y la inflamación posterior.



Implantes dentales
con la confianza de IO Cantábrico
En nuestra clínica te ofrecemos implantes dentales con seguridad, precisión y un trato humano que marca la diferencia
Especialistas en cirugía guiada.
Tecnología de vanguardia.
Instalaciones modernas en Gijón.
A tu lado todo el proceso.
Trato humano y experto.
Cuenta con nosotros